正常咬合(せいじょうこうごう)とは、どのような状態かご存じでしょうか? 正常咬合は、さまざまな観点から言い表すことができますが、シンプルにいえば、かみ合わせ(咬合)が正常な状態のことをさします。単に見た目が美しいだけでなく、上下の歯の接触、並び方、噛み方だけではなく、顎関節や咀嚼筋などの正常な機能も含みます。
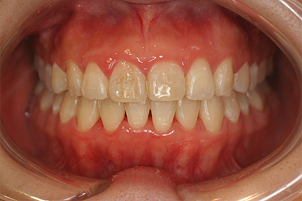
丸山矯正歯科で実際に治療した症例をご紹介します。
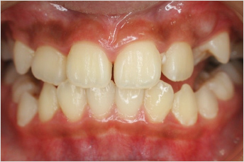
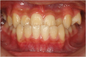
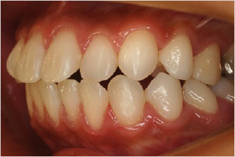
歯が重なりあって、でこぼこに生えてしまっている状態を「叢生(そうせい)」といいます。乱杭歯(らんぐいば)や八重歯(やえば)なども叢生の一種です。
■ 20代の男子「上下の前歯にデコボコがあり歯が出ている症例」
■ 20代の女子「八重歯を伴う開咬の治療例」
通常の噛み合わせは、上の歯が下の歯に被さりますが、受け口で下の歯が上の歯に被さるように噛み合う状態を反対咬合(はんたいこうごう)や下顎前突(かがくぜんとつ)といいます。
■ 中学生の男子「前歯部の反対咬合」
■ 20代の男子「前歯部の反対咬合の症例」
いわゆる出っ歯の状態は、「上顎前突(じょうがくぜんとつ)」といい、見た目だけでなく食事が食べづらかったり、顎に負担がかかるなどのリスクがあります。
■ 20代の女子「前歯が出ている症例」
■ 20代の女子「前歯が出ている症例」
■ 20代の女子「前歯が出ている症例」
奥歯が噛み合っていたとしても、上下の前歯が噛み合わずに、口を閉じられない状態のことを開咬(かいこう)といいます。
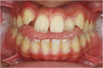
■ 20代の女子「前歯にデコボコがあり、前歯が咬み合っていない症例」
■ 20代の男子「前歯が咬み合っていなく反対咬合の症例」
■ 20代の女子「前歯が咬み合ってなく開咬の症例」
乳歯の歯並びが悪いと永久歯の歯並びに悪影響を与える場合があります。お子様の歯並びが気になる場合には、できるだけ早く矯正歯科医師にご相談ください。
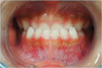
■ 7歳の女子「前歯部の開咬とデコボコ」
■ 5歳の女子「前歯の反対咬合」
■ 7歳の男子「前歯の叢生(デコボコ)」
| 月 | 火 | 水 | 木 | 金 | 土 | 日 | |
| 10:30〜13:00 | × | ○ | ○ | ○ | ○ | △ | × |
| 14:30〜19:30 | × | ○ | ○ | ○ | ○ | △ | × |
○:診療 10:30~13:00、14:30~19:30
×:休診(月曜、日曜、祝日)
△:土曜日 午前:10:00~12:30 / 午後:14:00~18:30
※ 平日の最終の予約は19:00・土曜の最終の予約は18:00
| 所在地 | 〒105-0013 東京都港区浜松町2-11-16 ユーワビル3F Google map |
|---|---|
| 電車 | 山手線浜松町駅 徒歩3分 都営大江戸線大門駅(東京都) 徒歩4分 都営三田線芝公園駅 徒歩7分 |
| バス | 都営バス06番 金杉橋バス停 徒歩3分 |
| 電話番号 | 03-5860-1583 |