矯正の相談無料(初診のみ)
03-5860-1583 東京都港区浜松町2-11-16 ユーワビル3F

丸山矯正歯科

思い描いた歯並びを実現するために複数の治療を組み合わせてご提案します。

浜松町駅から徒歩3

浜松町駅から徒歩3の矯正歯科

思い描いた歯並びを実現するために
複数の治療を組み合わせてご提案します。

光加速矯正装置のLP

丸山矯正歯科は、見た目の美しさだけでなく
「咬み合わせを考慮した矯正治療」を重視しております。

咬み合わせが悪いと歯周病をはじめとした様々な口内トラブルを引き起こします。
また、歯並びは口の中の見た目だけでなく、正面や横から見た口元の形にも影響します。
当院では正しい咬み合わせと美しい歯並びを目指し、患者様の健康な口作りをサポートします。

丸山矯正歯科が選ばれる理由1

長い経験で培われた技術

丸山矯正歯科は、目立ちにくいマウスピース矯正や裏側矯正といった矯正治療に長年携わってきました。
院⾧の丸山は、矯正治療に「咬み合わせ」の観点を取り入れたアメリカの歯科医師Dr.Roth本人から直接教えを受けた第1期生であり、その中で最年少の生徒でした。
当院における矯正治療では、そこで学んだ「咬み合わせ治療」を重視し、さらなる研鑽に励んでいます。

丸山矯正歯科が選ばれる理由2

カウンセリングから治療まで、院長が担当

丸山矯正歯科では、無料の矯正相談から各種治療まで、医長の丸山が担当いたします。歯並びや口元の状態の確認および分析結果、治療方法について、専門医の立場からわかりやすく説明いたしますので、初めての方でも安心して治療を受けていただけます。

丸山矯正歯科が選ばれる理由3

徹底した衛生管理

歯科治療において、歯科医師や歯科衛生士は患者様と非常に近い位置で治療を行います。丸山矯正歯科では、コロナウイルスが流行する以前から、徹底した衛生管理に取り組んできました。
各種機器や設備の治療ごとの消毒はもちろん、公衆衛生の知見に基づき管理・対応しておりますので、安心して治療を受けていただけます。

丸山矯正歯科の主な診療について

TREATMENTS

院長から皆様へ

MESSAGE

当院では様々な矯正装置をご用意し、理想の咬み合わせを実現できるよう患者様一人ひとりに合わせた治療法をご提案いたします。矯正すべきかどうかお一人で悩まず、まずはお気軽にご相談ください。

丸山矯正歯科

院長丸山 浩二

当院では様々な矯正装置をご用意し、理想の咬み合わせを実現できるよう患者様一人ひとりに合わせた治療法をご提案いたします。矯正すべきかどうかお一人で悩まず、まずはお気軽にご相談ください。

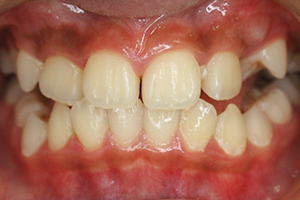
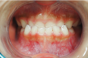
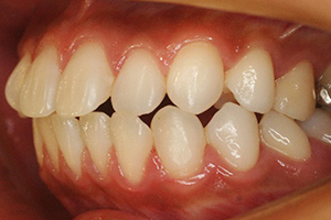
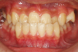
歯列矯正の症例一覧

CASES

診断

DIAGNOSE

病気を治すには、どこの部位が悪いか医者が判断できないと治すことはできません。それは矯正治療でも同様で、なぜこのような咬み合わせにまたは口元になったのかが判断できないと、きちんとした治療はできません。それが診断になります。抜歯をして矯正治療を行うのか、または非抜歯で矯正治療を行うのかをするには正確な診断能力が矯正医に必要になります。

例えば、少し前歯が出ている「出っ歯」、前歯が咬んでいない「開咬」などの症状で、やみくもに抜歯を行い、その抜歯されたスペースを利用し前歯を後方に移動して治療した場合、それを行ったことで治療後に様々な悪い結果が出ることも多々あります。

また、抜歯により前歯を後方に移動して出っ歯や受け口を治療した場合、口元が下がりすぎてしまい、顎(下唇の下)が出すぎてしまう事になります。 それらを考えるとどのように治し改善するのか、また治療の目標をどこに設定するかは非常に重要なことになります。

矯正治療は、まず患者様の悩みの中心である「主訴」を解決するのは絶対ですが、歯並びや口元を美しく整え、そして咬み合わせまで改善することが理想のゴールとなります。
それらを達成するために矯正医の診断能力は矯正治療にとって重要な要因になってきます。
患者様皆様そして患者様の周りの方々が、当院で矯正治療を行ってよかったと思って下さるように
丸山矯正歯科では日々の臨床に臨み、勉強を怠らずスキルを磨いて行きます。

ご予約について

APPOINTMENT
03-5860-1583
   

港区浜松町駅徒歩3分!丸山矯正歯科について

About Clinic
10:30〜13:00 × ×
14:30〜19:30 × ×

○:診療 10:30~13:00、14:30~19:30
×:休診(月曜、日曜、祝日)
△:土曜日 午前:10:00~12:30 / 午後:14:00~18:30

※ 平日の最終の予約は19:00・土曜の最終の予約は18:00

所在地 〒105-0013
東京都港区浜松町2-11-16
ユーワビル3F
Google map
電車 山手線浜松町駅 徒歩3分
都営大江戸線大門駅(東京都) 徒歩4分
都営三田線芝公園駅 徒歩7分
バス 都営バス06番 金杉橋バス停 徒歩3分
電話番号 03-5860-1583

PAGE TOP

光加速矯正装置のLP