矯正の相談無料(初診のみ)
03-5860-1583 東京都港区浜松町2-11-16 ユーワビル3F

小児(子供)の
矯正治療例

小児(子供)の矯正治療例

前歯が永久歯で奥歯が乳歯の歯並び、または全部が乳歯の歯並びを矯正治療します。たとえ歯が綺麗に並んでいても、上下の前歯が咬んでいなかったり、後から生えてくる永久歯の隙間がなかったりすることが多く見受けられます。
よってできるだけ早いうちに矯正歯科医にご相談下さい。

小児の矯正治療

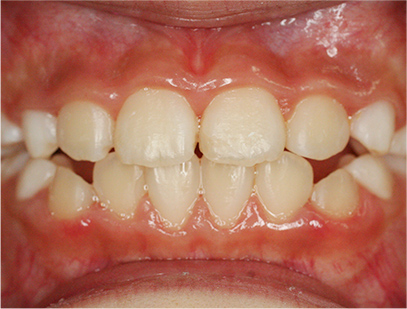
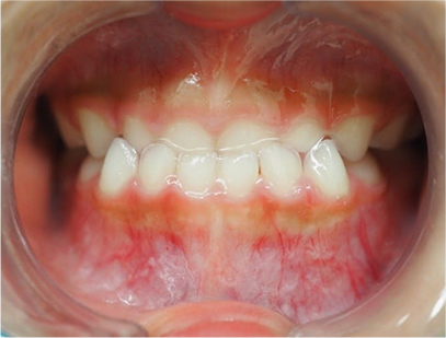
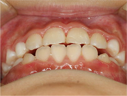
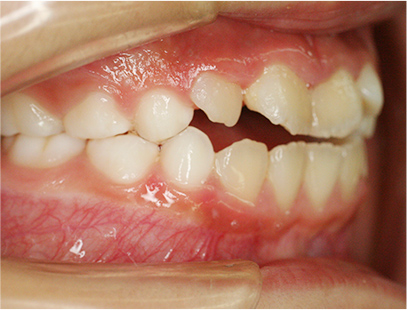
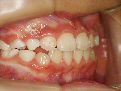
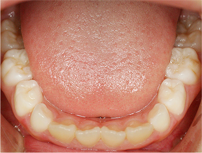
症例01

前歯部の開咬とデコボコ

前歯部が咬んでいないことを主訴として来院されました。精査、診断の結果「前歯部にデコボコを伴う開咬」と診断されました。

治療計画
下の歯の裏側に舌が出ないように矯正装置を取り付け、そして上の歯には取り外しのできる矯正装置を装着して、側方に拡大を行います。
矯正の種類
取り外しのできる矯正装置、舌が出せなくなる矯正装置(フェンス)

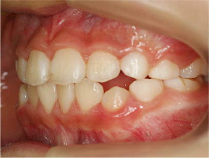
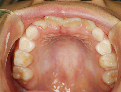
治療前

  • 正面

  • 正面

  • 上側

  • 下側

  • 右側

  • 左側

治療後

  • 正面

  • 上側

  • 右側

  • 左側

コメント
治療期間は、患者様の努力とお母さまの協力が得られて1年間で終了しました。
治療の成果
  • 顎の成長をコントロールできる事
  • 口や顎骨の変形、以上成長を防ぐという事
  • 小児矯正を行う事で、大人になってから矯正治療を必要としない場合もある
  • 大人になってから本格的な矯正治療が必要となった場合でも、抜歯を伴う治療を回避して治療時間を短くすることができる。
治療のデメリット
  • ご本人が協力的でないと思うような結果が出ない場合もある。
  • 顎の成長に合わせて治療するために一時的な歯並びが悪くなることもある。

概算費用

検査、診断料 ¥33,000(税込)
矯正装置装着料および施術料 ¥330,000(税込)
調整料金 ¥4,400(税込)の回数分で
¥66,000(税込)程になります。

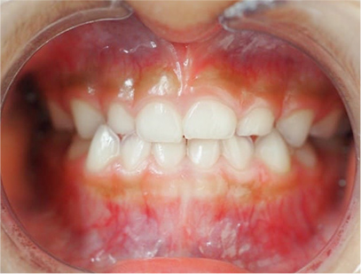
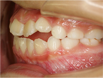
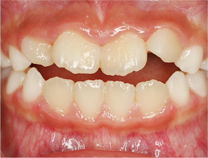
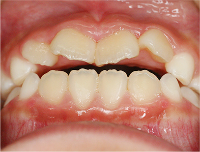
症例02

前歯の反対咬合

前歯部の反対咬合を主訴として来院されました。精査、診断の結果「前歯部の反対咬合」と診断されました。

治療計画
上顎に取り外しのできる教師装置を使用して裏側から前歯を前方に拡大します。 使用は、お家の中で食事の時と歯ブラシの時以外は使用することを指示しました。
矯正の種類
取り外しのできる矯正装置

治療前と治療後の写真

  • 矯正装置の写真

  • 治療前

  • 治療後

コメント
治療期間は患者様の努力とお母さまの協力が得られて5か月間で終了しました。
治療の成果
  • 顎の成長をコントロールできる事
  • 口や顎骨の変形、異常成長を防ぐという事
  • 小児矯正を行う事で、大人になってからの矯正治療を必要としない場合もある
  • 大人になってから本格的な矯正治療が必要となった場合でも、抜歯を伴う治療を回避して治療時間を短くすることができる
  • コンプレックスの解消
治療のデメリット
  • ご本人が協力的でないと思うような結果が出ない場合もある。
  • 顎の成長に合わせて治療するために一時的に歯並びが悪くなることがある。
  • 大人になってから再度矯正治療が必要な場合もある。

概算費用

検査、診断料 ¥33,000(税込)
矯正装置装着料および施術料 ¥356,400(税込)
調整料金 ¥4,400(税込)の回数分で
¥22,000(税込)程になります。

症例03

前歯の叢生(デコボコ)

前歯が並ばないことをお母さまが心配して来院されました。精査、診断の結果「前歯部の叢生」とされました。

治療計画
上下共に永久歯の萌出スペースが不足しているために、側方(横側)に拡大してスペースを作ることにしました。
矯正の種類
取り外しのできる矯正装置

術前と術中のレントゲン写真

  • 術前のレントゲン写真
    上顎の3番目の犬歯のスペースがほとんどありません。 下顎も同じように3番目の犬歯のスペースが僅かですが不足しているのが解ります。 このままですと特に上顎の前歯は凸凹になり、犬歯は間違いなく八重歯になるでしょう。

  • 術中のレントゲン写真
    上顎の左右の2番目から2番目の4歯は綺麗にはえることができ、3番目の犬歯のスペースができました。 下顎も同じように3番目の犬歯のスペースができました。これで八重歯になる事はなく自然に萌出することを待ちます。

コメント
治療期間は患者様の努力とお母さまの協力が得られ6か月で終了しました。
治療の成果
  • 取り外しの矯正装置を使用したために、食事の際と、歯ブラシの際に外すことができお口の中の衛生状態が清潔に保つことができる。また学校に装着していかないので、矯正装置が勉強に影響することが少ない。
  • 将来歯が生えて凸凹になる事を防ぐことができることために、歯ブラシがしやすくなるので虫歯や歯肉炎になるリスクが少なくできる。
  • 例え将来第2期の矯正治療が必要でも、抜歯を伴う治療を回避して治療時間を短くできる。
治療のデメリット
  • ご本人の協力がないと思うような結果が出ない場合もある。
  • 矯正装置が壊れる場合がある。

概算費用

検査、診断料 ¥33,000(税込)
矯正装置装着料および施術料 ¥356,400(税込)
調整料金 ¥4,400(税込)の回数分で
¥264,000(税込)程になります。

ご予約について

APPOINTMENT
03-5860-1583
   

港区浜松町駅徒歩3分!丸山矯正歯科について

About Clinic
10:30〜13:00 × ×
14:30〜19:30 × ×

○:診療 10:30~13:00、14:30~19:30
×:休診(月曜、日曜、祝日)
△:土曜日 午前:10:00~12:30 / 午後:14:00~18:30

※ 平日の最終の予約は19:00・土曜の最終の予約は18:00

所在地 〒105-0013
東京都港区浜松町2-11-16
ユーワビル3F
Google map
電車 山手線浜松町駅 徒歩3分
都営大江戸線大門駅(東京都) 徒歩4分
都営三田線芝公園駅 徒歩7分
バス 都営バス06番 金杉橋バス停 徒歩3分
電話番号 03-5860-1583

PAGE TOP

光加速矯正装置のLP