矯正の相談無料(初診のみ)
03-5860-1583 東京都港区浜松町2-11-16 ユーワビル3F

開咬(かいこう)の
矯正治療例

開咬(かいこう)の矯正治療例

上下の前歯などが咬んでいない歯並びの状態を開咬(かいこう)といいます。

開咬の治療例

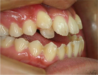
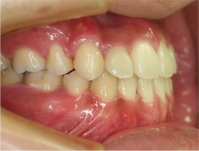
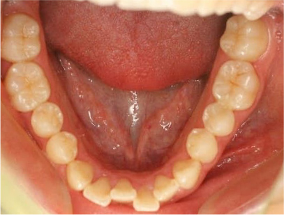
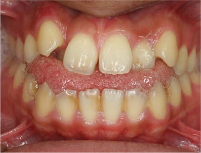
症例01

前歯にデコボコがあり、前歯が咬み合っていない症例

上下の前歯が咬んでいない事、上の前歯にデコボコがある事を主訴として来院されました。
通常通りの検査を行い「前歯部にデコボコを伴う開咬」と診断されました。

治療計画
上顎は左右4番目の歯を抜歯して、下顎は横に拡大してスペースを利用して前歯を綺麗に並べ、そして前歯部にゴムを使用して咬み合わせを改善することにしました。
矯正の種類
上下共に表側の白い矯正装置(セラミック)、マウスピース矯正

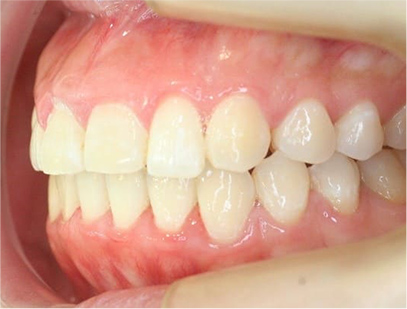
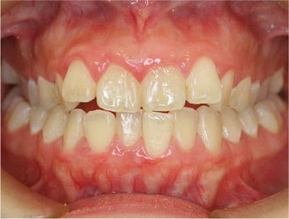
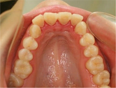
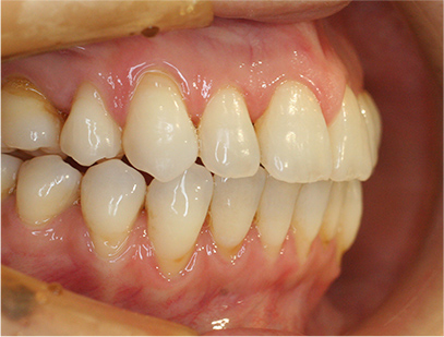
治療前

  • 正面

  • 上側

  • 右側

  • 左側

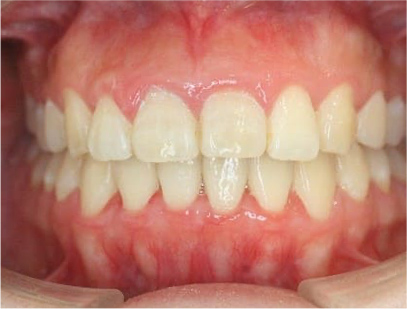
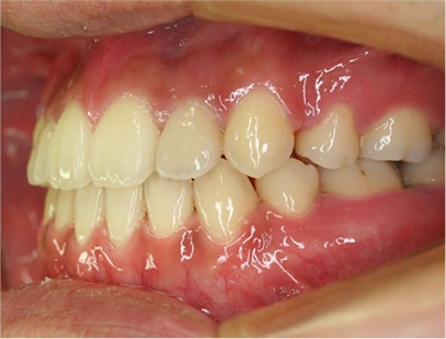
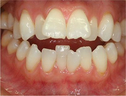
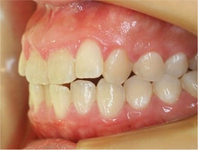
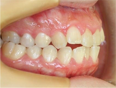
治療後

  • 正面

  • 右側

  • 左側

コメント
治療前の写真を比べると上下の前歯は綺麗に並び、歯が出ていたことも改善され、 上下の歯はしっかり咬み合っています。 治療期間は、重度の開咬であったために3年弱を必要としました。
治療の成果
  • 歯並びが綺麗になり、上下の歯が咬み合った事。
  • 上の前歯が出ていたことが改善された事。
治療のデメリット
  • 歯を抜歯する必要がある事
  • 上下の歯に矯正装置を着ける必要があるために、去勢治療中の食事の際に矯正装置に食べ物が詰まりやすい事
  • 歯ブラシが矯正治療の前に比べると大変な事
  • 矯正装置の違和感。

概算費用

検査、診断料 ¥33,000(税込)
矯正装置装着料および施術料 ¥1,089,000(税込)
調整料金 ¥6,600(税込)の回数分で
¥237,600(税込)程になります。

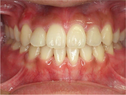
症例02

前歯が咬み合っていなく反対咬合の症例

上下の前歯が咬んでない事を主訴として来院されました。通常どおり検査を行い「前歯部に開咬を伴う反対咬合」と診断されました。

治療計画
上顎は左右4番目の第一小臼歯を抜歯して、また下顎も左右4番目の第一小臼歯を抜歯してその抜歯されたスペースを利用して前歯を上下それぞれ綺麗に並べて咬み合わせを改善する事にしました。また前歯を咬み合わせるためにゴムを使用する事にしました。
矯正の種類
上下ともに表側のセラミック(白い矯正装置)

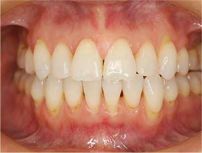
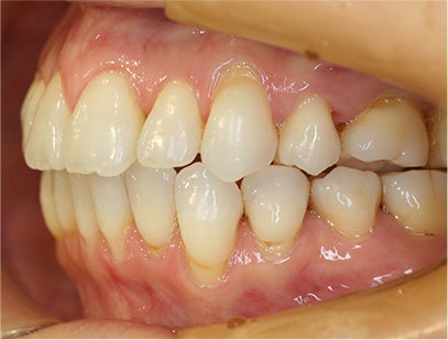
治療前

  • 矯正治療前の横顔

  • 正面

  • 右側

  • 左側

治療後

  • 矯正治療後の横顔

  • 正面

  • 右側

  • 左側

コメント
治療前の写真と治療後の写真を比べると口元が治療前は下唇が出ていて、鼻の下が凹んでいました。上顎の前歯のデコボコも綺麗に並びました。また、上下の前歯は開咬が治りしっかりと咬み合ってます。
治療期間は患者様の協力が大変に良かったために2年半とさほど長くはありませんでした。
治療の成果
  • 口元が綺麗になった事、上下の前歯が咬み合った事、八重歯が改善された事。
治療のデメリット
  • 歯を抜歯する必要がある事。
  • 上下の歯に矯正装置を着ける必要があるために、矯正治療中の食事の際に矯正装置に食べ物が詰まりやすい事。
  • 歯ブラシが矯正治療の前に比べると大変な事。
  • 矯正装置の違和感。

概算費用

検査、診断料 ¥33,000(税込)
矯正装置装着料および施術料 ¥1,089,000(税込)
調整料金 ¥6,600(税込)の回数分で
¥198,000(税込)程になります。

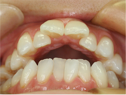
症例03

前歯が咬み合ってなく開咬の症例

上下の前歯が咬んでない事と前歯のデコボコを主訴として来院されました。
通常通り検査を行い「前歯部にデコボコを伴う開咬」と診断されました。

治療計画
舌の悪習癖のために上顎の歯並びの幅が狭いために裏側から拡大し、その後、上顎には裏側に下顎には表側に矯正装置を装着して綺麗に歯を並べてまた咬み合わせも改善しました。
矯正の種類
上は裏側に、下は表側にセラミック(白い矯正装置)

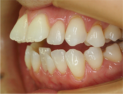
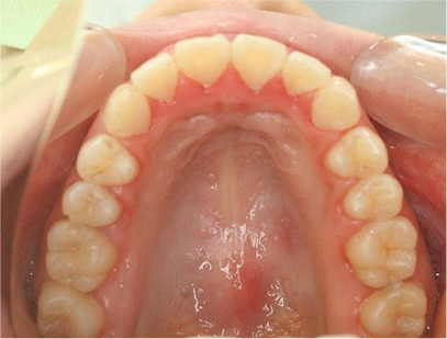
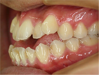
治療前

  • 正面

  • 上側

  • 下側

  • 右側

  • 左側

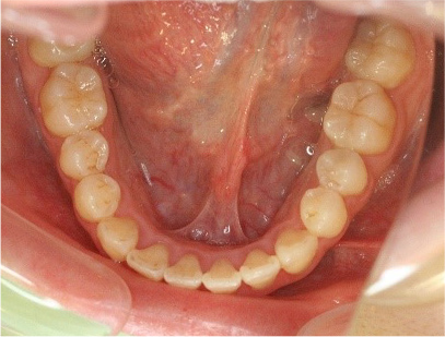
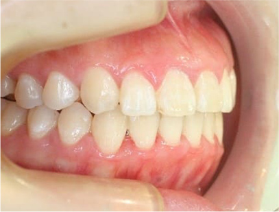
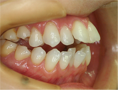
治療後

  • 正面

  • 上側

  • 下側

  • 右側

  • 左側

コメント
治療前後の写真を比べると前歯は綺麗に咬み合っていて、上の奥歯が狭かったのが拡大されており下の奥歯と綺麗に咬み合っていることが解ります。治療期間は患者様の協力が大変に良かったために1年半で終了することができ、現在保定治療を行っております。
治療の成果
  • 前歯部の歯並びが綺麗になり、全体的に咬み合わせが治療された事
治療のデメリット
  • 上下の歯に矯正装置を着ける必要があるために、矯正治療の食事の際に矯正装置に食べ物が詰まりやすい事
  • 歯ブラシが矯正治療前に比べると大変なこと
  • 矯正装置の違和感

概算費用

検査、診断料 ¥33,000(税込)
矯正装置装着料および施術料 ¥1,270,500(税込)
調整料金 ¥6,600(税込)の回数分で
¥112,200(税込)程になります。

ご予約について

APPOINTMENT
03-5860-1583
   

港区浜松町駅徒歩3分!丸山矯正歯科について

About Clinic
10:30〜13:00 × ×
14:30〜19:30 × ×

○:診療 10:30~13:00、14:30~19:30
×:休診(月曜、日曜、祝日)
△:土曜日 午前:10:00~12:30 / 午後:14:00~18:30

※ 平日の最終の予約は19:00・土曜の最終の予約は18:00

所在地 〒105-0013
東京都港区浜松町2-11-16
ユーワビル3F
Google map
電車 山手線浜松町駅 徒歩3分
都営大江戸線大門駅(東京都) 徒歩4分
都営三田線芝公園駅 徒歩7分
バス 都営バス06番 金杉橋バス停 徒歩3分
電話番号 03-5860-1583

PAGE TOP

光加速矯正装置のLP