矯正の相談無料(初診のみ)
03-5860-1583 東京都港区浜松町2-11-16 ユーワビル3F
   

上顎前突(出っ歯)の
矯正治療例

上顎前突(出っ歯)の矯正治療例

上顎前突(出っ歯)
上の前歯が下の前歯よりも前に2mm以上出ている歯並びの状態を上顎前突(じょうがくぜんとつ)といいます。

上顎前突(出っ歯)の治療例

症例01

前歯が出ている症例

上下の前歯が出ていることを主訴として来院されました。
通常どおりの検査を行い、「上下顎前突」と診断されました。

治療計画
上下の前歯が出ていることを主訴として来院されました。
通常どおりの検査を行い、「上下顎前突」と診断されました。
矯正の種類
上は裏側矯正
下は表側からの白い矯正装置(セラミック)

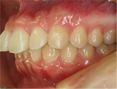
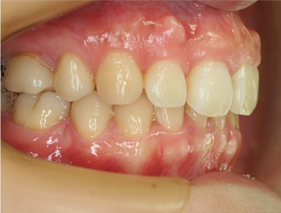
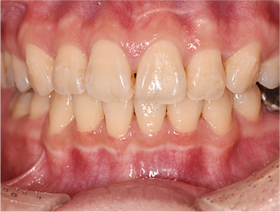
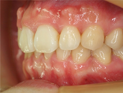
治療前

  • 矯正治療前の横顔

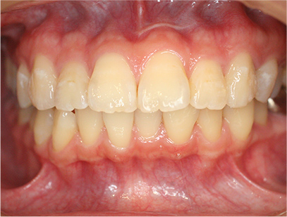
  • 正面

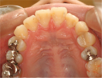
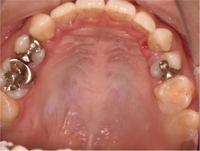
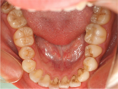
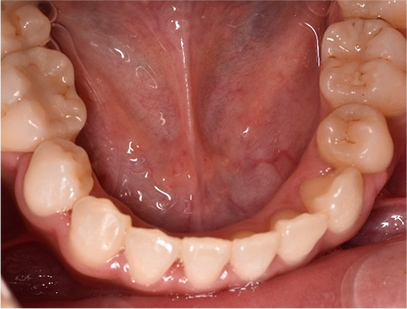
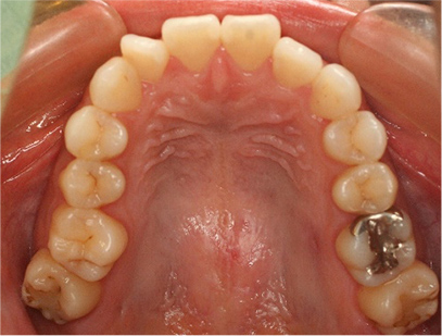
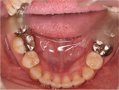
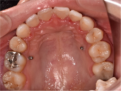
  • 上側

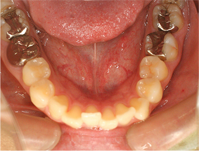
  • 下側

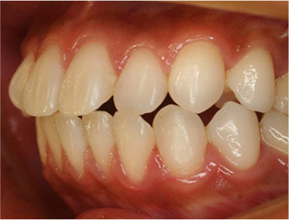
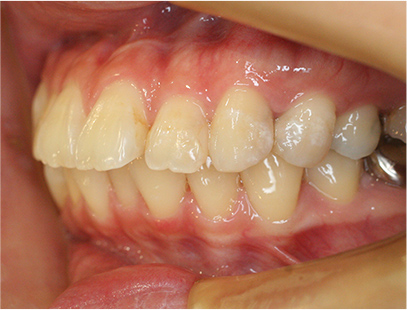
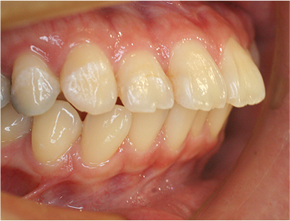
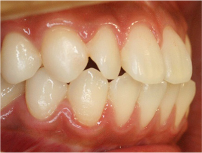
  • 左側

  • 右側

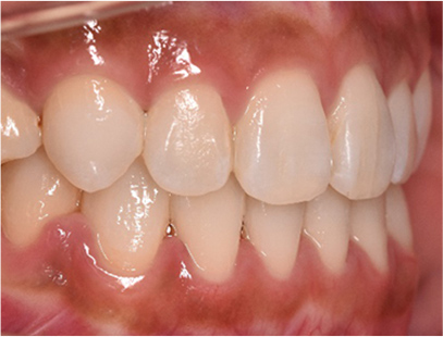
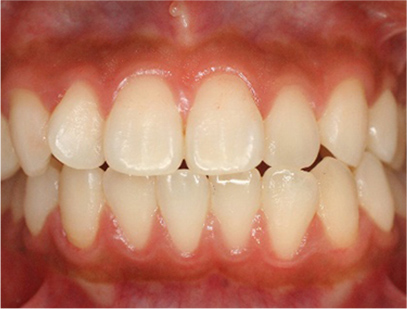
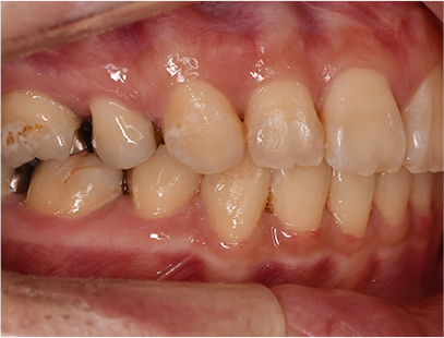
治療後

  • 矯正治療後の横顔

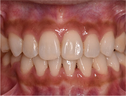
  • 正面

  • 上側

  • 下側

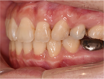
  • 左側

  • 右側

コメント
治療前の写真と比べると上下の前歯は後方に下がりまた、上下の前歯のデコボコも綺麗に並びました。上下の正中線も大きくずれていたものがほとんど合わせることができました。
これにより口元は下がり鼻の下の膨らみもすっきりして、下唇も薄くなることができました。
治療期間は2年6か月を必要としました。
治療の成果
  • 患者様の主訴である口元の改善ができた事。
  • 歯が出ているという精神的なコンプレックスがなくなった事。
  • 咬み合わせが良くなった事。
治療のデメリット
  • 歯を抜歯する必要がある事。
  • 上下の歯に矯正装置を着ける必要があるために、矯正治療中の食事の際に矯正装置に食べ物が詰まりやすい事。
  • 歯ブラシが矯正治療の前に比べると大変な事。
  • 矯正装置の違和感。

概算費用

検査、診断料 ¥33,000(税込)
矯正装置装着料および施術料 ¥1,270,500(税込)
調整料金 ¥6,600(税込)の回数分で¥198,000(税込)程になります。

症例02

前歯が出ている症例

上下の前歯が出ていることを主訴として来院されました。 通常どおりの検査を行い、「上下顎前突」と診断されました。

治療計画
上の歯は前から数えて左右の4番目の歯を、下の歯は左下は4番目右下は5番目の歯を抜歯してそのスペースを利用して前歯を内側に動かすことにしました。
矯正の種類
上は裏側矯正
下は表側からの白い矯正装置(セラミック)

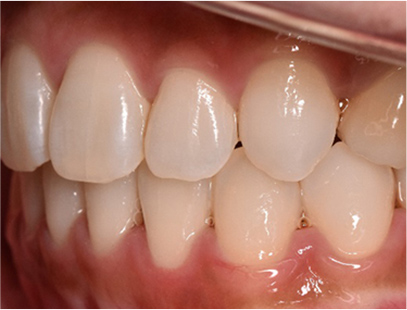
治療前

  • 矯正治療前の横顔

  • 上側

  • 下側

治療後

  • 矯正治療後の横顔

  • 上側

  • 下側

コメント
治療前の写真と比べると上下の前歯は後方に下がりまた、上下の僅かの前歯のデコボコも綺麗に並びました。
これにより口元は下がり鼻の下の膨らみもすっきりして、下唇の下の梅干し状の筋肉の緊張もなくなりそして下唇も薄くなることができました。
口元がすっきりした印象です。
治療期間は2年6か月を必要としました。
治療の成果
  • 患者様の主訴である口元の改善ができた事。
  • 歯が出ているという精神的なコンプレックスがなくなった事。
  • 咬み合わせが良くなった事。
治療のデメリット
  • 歯を抜歯する必要がある事。
  • 上下の歯に矯正装置を着ける必要があるために、矯正治療中の食事の際に矯正装置に食べ物が詰まりやすい事。
  • 歯ブラシが矯正治療の前に比べると大変な事。
  • 矯正装置の違和感。

概算費用

検査、診断料 ¥33,000(税込)
矯正装置装着料および施術料 ¥1,270,500(税込)
調整料金 ¥6,600(税込)の回数分で¥198,000(税込)程になります。

症例03

前歯が出ている症例

上の歯が出いることを主訴として来院されました。
通常通り検査を行い、「上下顎前突」と診断されました。

治療計画
上下4番目の歯を抜歯してそのスペースを利用して上の前歯を内側に移動させる事としました。
矯正の種類
上は裏側矯正
下は表側からの白い矯正装置(セラミック)

治療前

  • 矯正治療前の横顔

  • 正面

  • 上側

  • 下側

  • 左側

  • 右側

治療後

  • 矯正治療後の横顔

  • 正面

  • 上側

  • 下側

  • 左側

  • 右側

コメント
治療前の写真と比べると上下の前歯は後方に下がりました。
そのために、鼻の下の膨らみもすっきりして、下唇も薄くなることができました。
治療期間は2年と6か月を必要としました。
治療の成果
  • 患者様の主訴である口元の改善ができた事。
  • 歯が出ているという精神的なコンプレックスがなくなった事。
  • 咬み合わせが改善された事。
治療のデメリット
  • 歯を抜歯する必要がある事。
  • 上下の歯に矯正装置を着ける必要があるために、矯正治療中の食事の際に矯正装置に食べ物が詰まりやすい事。
  • 歯ブラシが矯正治療の前に比べると大変な事。
  • 矯正装置の違和感。

概算費用

検査、診断料 ¥33,000(税込)
矯正装置装着料および施術料 ¥1,270,500(税込)
調整料金 ¥6,600(税込)の回数分で¥198,000(税込)程になります。

ご予約について

APPOINTMENT
03-5860-1583
   

港区浜松町駅徒歩3分!丸山矯正歯科について

About Clinic
10:30〜13:00 × ×
14:30〜19:30 × ×

○:診療 10:30~13:00、14:30~19:30
×:休診(月曜、日曜、祝日)
△:土曜日 午前:10:00~12:30 / 午後:14:00~18:30

※ 平日の最終の予約は19:00・土曜の最終の予約は18:00

所在地 〒105-0013
東京都港区浜松町2-11-16
ユーワビル3F
Google map
電車 山手線浜松町駅 徒歩3分
都営大江戸線大門駅(東京都) 徒歩4分
都営三田線芝公園駅 徒歩7分
バス 都営バス06番 金杉橋バス停 徒歩3分
電話番号 03-5860-1583

PAGE TOP

光加速矯正装置のLP