矯正の相談無料(初診のみ)
03-5860-1583 東京都港区浜松町2-11-16 ユーワビル3F

反対咬合の
歯並び矯正治療例

反対咬合の矯正治療例

下の前歯が上の前歯よりも前に出ている歯並びの状態を反対咬合(はんたいこうごう)といいます。

反対咬合の治療例

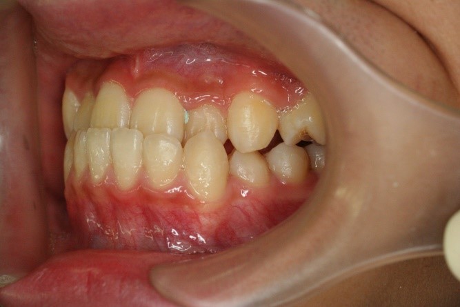
症例01|中学生の男子

前歯部の反対咬合

前歯部の反対咬合と上顎前歯のデコボコを主訴として来院されました。精査、診断の結果「前歯部に叢生を伴う反対咬合」と診断されました。

治療計画
非抜歯にて前歯の再配列、反対咬合の改善を行う事にしました。
矯正の種類
上下ともに表側からの矯正装置

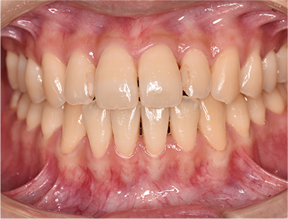
治療前

  • 矯正治療前の横顔

  • 正面

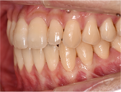
  • 右側

  • 左側

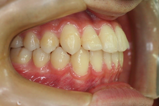
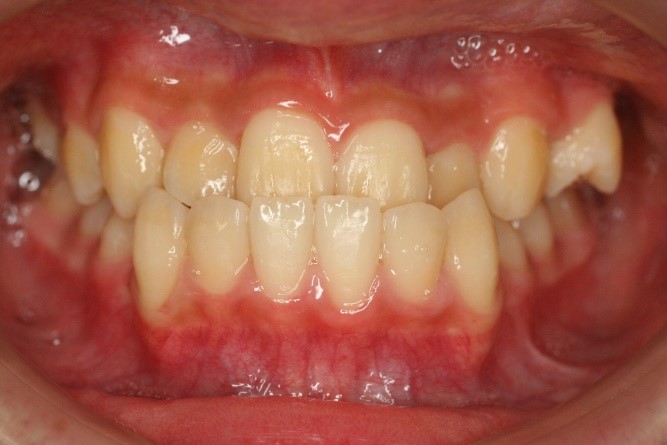
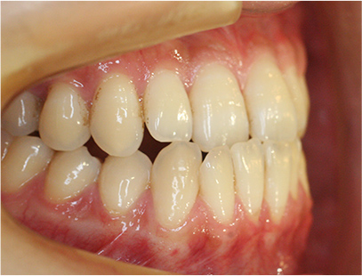
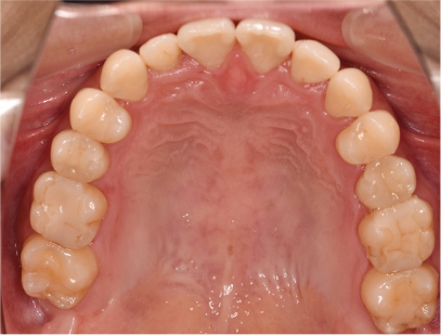
治療後

  • 矯正治療後の横顔

  • 正面

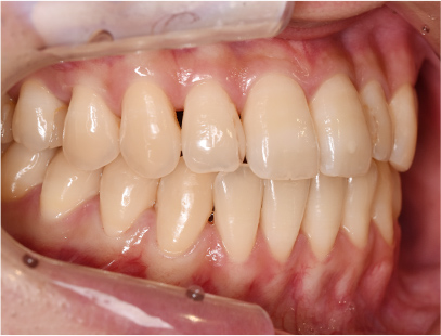
  • 右側

  • 左側

コメント
治療前の写真と比べると前歯部の反対咬合は改善されて、上顎の前歯部のデコボコも綺麗に並べる事ができました。
また口元は上の歯が前に出たために口唇がへこんでいたことも改善されて男らしい綺麗な口元に改善できました。 治療期間は2年と6か月を必要としました。
治療の成果
  • 患者様の主訴である前歯部の反対咬合、そして口元改善ができた事。
  • 反対咬合という精神的なコンプレックスがなくなった事。
  • 咬み合わせが良くなった事。
治療のデメリット
  • 上下の歯に矯正装置を付ける必要があるために、矯正治療中の食事の際に矯正装置に食べ物が詰まりやすい事。
  • 矯正装置の違和感。

概算費用

検査、診断料 ¥33,000(税込)
矯正装置装着料および施術料 ¥1,089,000(税込)
調整料金 ¥6,600(税込)の回数分で¥198,000(税込)程になります。

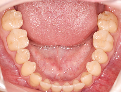
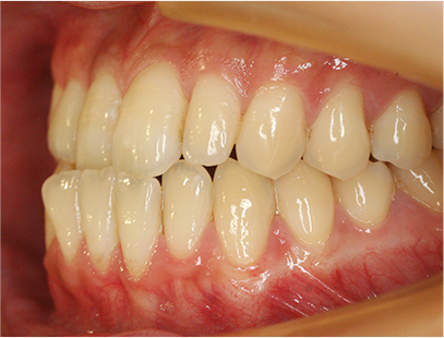
症例02|20代の男子

前歯部の反対咬合の症例

上下の前歯が反対咬合を主訴として来院されました。通常通り検査を行い「反対咬合」と診断されました。

治療計画
下の犬歯から後ろの歯をまずは後方に移動して、その後に上下の歯並びを綺麗に並べて前歯部の咬み合わせを改善することにしました。
矯正の種類
カリエールディスタライザー、上に裏側、下に表側のセラミック(白い矯正装置)

治療前

  • 矯正治療前の横顔

  • 正面

  • 上側

  • 下側

  • 左側

  • 右側

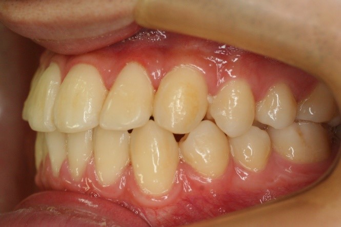
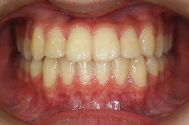
治療後

  • 矯正治療後の横顔

  • 正面

  • 上側

  • 下側

  • 左側

  • 右側

コメント
治療前の写真を治療後の写真を比べると、鼻の下がくぼんでいたのが改善されて口元が綺麗になった事が解ります。また歯並びは綺麗に並び上の歯が前に出て下の歯が後ろに移動して歯がしっかりと咬み合っています。
患者様に協力いただけたため、2年の治療期間で終了することができました。
治療の成果
  • 口元が綺麗になった事
  • 上下の歯が綺麗に並び歯が出ている事
  • 咬み合わせが改善された事
治療のデメリット
  • 上下の歯に矯正装置を着ける必要があるために、矯正装置に食べ物が詰まりやすい事
  • 歯ブラシが大変な事
  • 矯正装置の違和感

概算費用

検査、診断料 ¥33,000(税込)
矯正装置装着料および施術料 ¥1,270,500(税込)
調整料金 ¥6,600(税込)の回数分で¥198,000(税込)程になります。

ご予約について

APPOINTMENT
03-5860-1583
   

港区浜松町駅徒歩3分!丸山矯正歯科について

About Clinic
10:30〜13:00 × ×
14:30〜19:30 × ×

○:診療 10:30~13:00、14:30~19:30
×:休診(月曜、日曜、祝日)
△:土曜日 午前:10:00~12:30 / 午後:14:00~18:30

※ 平日の最終の予約は19:00・土曜の最終の予約は18:00

所在地 〒105-0013
東京都港区浜松町2-11-16
ユーワビル3F
Google map
電車 山手線浜松町駅 徒歩3分
都営大江戸線大門駅(東京都) 徒歩4分
都営三田線芝公園駅 徒歩7分
バス 都営バス06番 金杉橋バス停 徒歩3分
電話番号 03-5860-1583

PAGE TOP

光加速矯正装置のLP