矯正の相談無料(初診のみ)
03-5860-1583 東京都港区浜松町2-11-16 ユーワビル3F

叢生(デコボコ)の
歯並び矯正治療例

叢生(デコボコ)の矯正治療例

歯の大きさと歯が埋まっている骨の大きさの不調和によるデコボコの歯並びの状態を叢生(そうせい)といいます。

叢生(デコボコ)の治療例

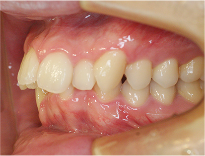
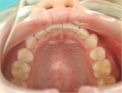
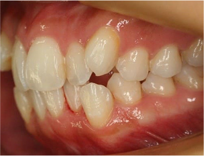
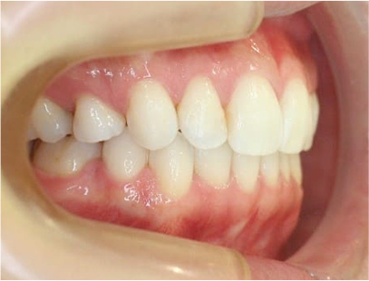
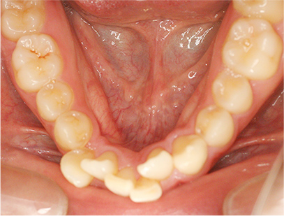
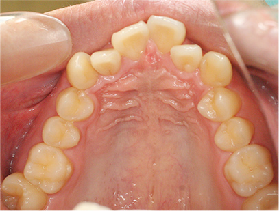
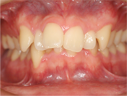
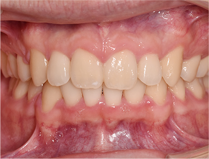
症例01|20代の男子

上下の前歯にデコボコがあり歯が出ている症例

上下の歯がデコボコしている事を主訴として来院されました。通常通り検査を行い「前歯部に叢生を伴う上顎前突」と診断されました。

治療計画
上顎の歯をまずは後方に移動して、その後に上下左右4番目の歯を抜歯してそのスペースを利用して上下の歯並びを綺麗に並べて咬み合わせを改善することにしました。
矯正の種類
カリエールディスタライザー、上下共に表側のセラミック(白い矯正装置)

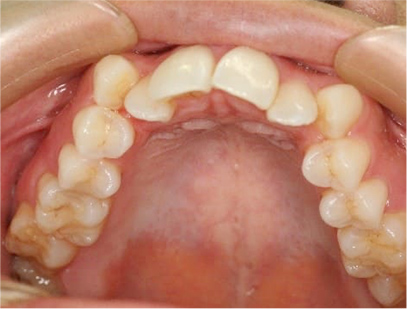
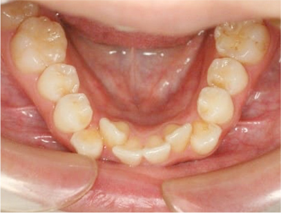
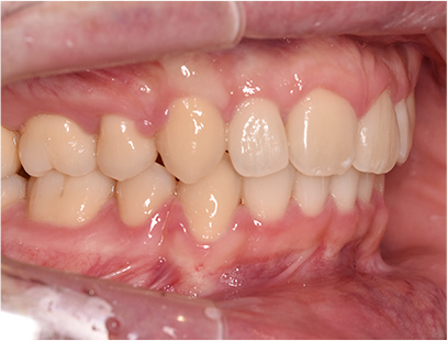
治療前

  • 術前の横顔

  • 正面

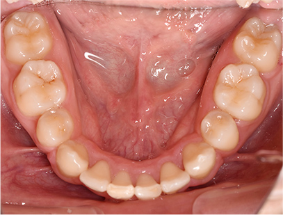
  • 上側

  • 下側

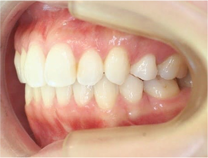
  • 左側

  • 右側

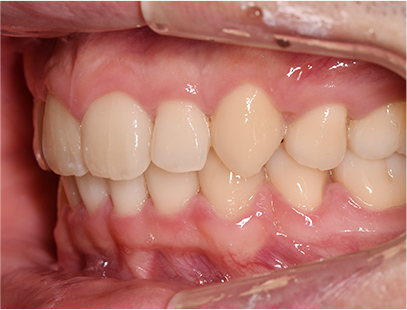
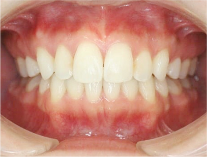
治療後

  • 術前の横顔

  • 正面

  • 上側

  • 下側

  • 左側

  • 右側

コメント
治療前の写真を治療後の写真を比べると、鼻の下が膨らんでいたのが改善されて口元がすっきりしたことが解ります。また歯並びは綺麗に並び上下の歯がしっかりと咬み合っています。
患者様に協力いただけたため、2年半の治療期間で終了することができました。
治療の成果
  • 口元が綺麗になった事
  • 上下の歯が綺麗に並び歯が出ている事
  • 咬み合わせが改善された事
治療のデメリット
  • 歯を抜歯する必要がある事
  • 上下の歯に矯正装置を着ける必要があるために、矯正装置に食べ物が詰まりやすい事
  • 歯ブラシが大変な事
  • 矯正装置の違和感

概算費用

検査、診断料 ¥33,000(税込)
矯正装置装着料および施術料 ¥1,089,000(税込)
調整料金 ¥6,600(税込)の回数分で¥198,000(税込)程になります。

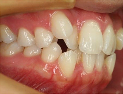
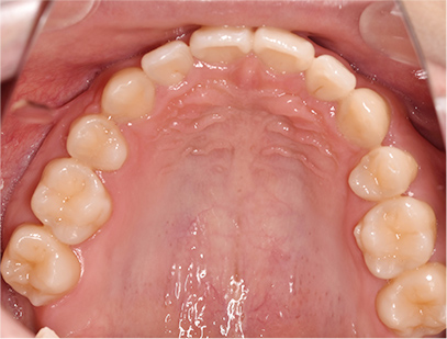
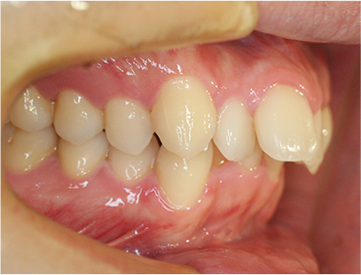
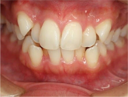
症例02|20代の女子

八重歯を伴う開咬の治療例

上顎の犬歯が八重歯で前歯部が咬んでいない症例
上顎の左右の犬歯が八重歯が主訴で来院されました。通常通りの検査を行い、「上顎の前歯部に叢生を伴う開咬」と診断されました。

治療計画
上下左右4番目の歯を抜歯してそのスペースを利用して治療を行う事となりました。
矯正の種類
上顎は裏側からの矯正装置
下顎は白い矯正装置

治療前

  • 正面

  • 上側

  • 下側

  • 左側

  • 右側

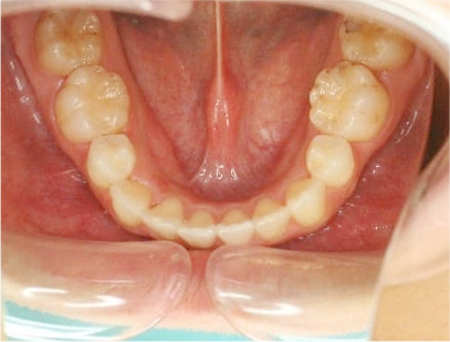
治療後

  • 正面

  • 上側

  • 下側

  • 左側

  • 右側

コメント
治療前の写真と比べると上顎の八重歯と上下前歯部のデコボコは綺麗に並び、前歯部の咬み合わせも深くなり全体的に咬み合わせが改善されていることが解ります。 治療期間は舌の悪習癖があったために2年と2か月を必要としました。
治療の成果
  • 患者様の主訴である八重歯が綺麗になり全体的に咬み合わせも改善されました。また発音も容易くなりました。
治療のデメリット
  • 上下の歯を抜歯する必要がある事。
  • 上下の歯に矯正装置をつける必要があるために、矯正治療中の食事にある程度の注意が必要であり、また矯正装置の間に物が詰まりやすい事。
  • 歯ブラシが矯正治療の前に比べると大変なこと。矯正装置の違和感。

概算費用

検査、診断料 ¥33,000(税込)
矯正装置装着料および施術料 ¥1,270,500(税込)
調整料金 ¥6,600(税込)の回数分で¥198,000(税込)程になります。

ご予約について

APPOINTMENT
03-5860-1583
   

港区浜松町駅徒歩3分!丸山矯正歯科について

About Clinic
10:30〜13:00 × ×
14:30〜19:30 × ×

○:診療 10:30~13:00、14:30~19:30
×:休診(月曜、日曜、祝日)
△:土曜日 午前:10:00~12:30 / 午後:14:00~18:30

※ 平日の最終の予約は19:00・土曜の最終の予約は18:00

所在地 〒105-0013
東京都港区浜松町2-11-16
ユーワビル3F
Google map
電車 山手線浜松町駅 徒歩3分
都営大江戸線大門駅(東京都) 徒歩4分
都営三田線芝公園駅 徒歩7分
バス 都営バス06番 金杉橋バス停 徒歩3分
電話番号 03-5860-1583

PAGE TOP

光加速矯正装置のLP